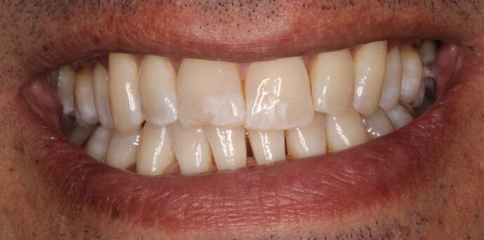
Porcelain Veneers: Greg
Description
10 porcelain veneers were completed in two visits to correct chipping and white spots on his teeth. He tried whitening for many years and found the whitening only made the white spots stand out more. Veneers allowed him to select the shade he wanted and never have to worry about whitening again.










